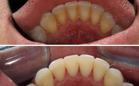
Зъбният камък и плаката са натрупвания върху зъбите и са отговорни за голям брой заболявания, както на зъбите, така и на венците. Самият зъбен камък представлява плака, която с времето се е втвърдила.

Тя се състои от бактерии, хранителни остатъци и клетки на организма, които в контакт с венците причиняват заболявания като пародонтит(пародонтоза) и гингивит. Симптоми на тези заболявания са кървене на венците, подуване и зачервяване, както и лош дъх. Ако имате един от тези симптоми е добре да се обърнете към вашият зъболекар, за да направите корекция на техниката ви на почистване на зъбите и ако е необходимо да получите професионална намеса.
